Lompat ke konten Lompat ke sidebar Lompat ke footer

13+ Brain Tumor Survivor Stories Glioblastoma Multiforme PNG

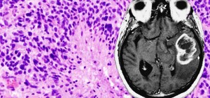
13+ Brain Tumor Survivor Stories Glioblastoma Multiforme PNG. Www.braintumor.org > your voice > share your story on november 28th, 2015, my father was diagnosed with glioblastoma multiforme stage four brain cancer. Glioblastoma multiforme (gbm) is the most common and aggressive type of primary brain tumor.

Clinical Trials Investigate Novel Treatment Methods in ...
Clinical Trials Investigate Novel Treatment Methods in ... from medicalupdate.pennstatehealth.org
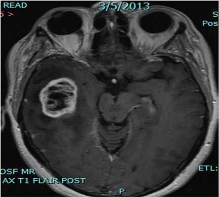
It is also known as glioblastoma multiforme. A glioma is a type of brain tumor that grows from glial cells. This time, the tumor was still very small, so they zapped it with the gamma knife.

Of these, glioblastoma will account for around 14.9 percent.

Glioblastoma also known as glioblastoma multiforme or with the acronym gbm is the most common and most aggressive among brain cancers. Bill asenjo, a survivor of six brain tumor surgeries, is completing his phd dissertation (alternative medicine and disability) at the university of iowa. The changed or abnormal cells often grow to form a. So the idea with this video is to tell.

Posting Komentar untuk "13+ Brain Tumor Survivor Stories Glioblastoma Multiforme PNG"